Признаки болезни у свиньи
Любая серьёзная болезнь всегда проявляется. Если животному нездоровится, это можно увидеть по его поведению и разным симптомам. Рассмотрим общие признаки недомогания у свиней:
- Угнетённое состояние, вялость. В некоторых случаях животное проявляет беспокойство.
- Свинья зарывается в подстилку.
- Расстройство стула. Многие болезни вызывают диарею. Стул при этом может содержать слизь, примеси крови. Иногда кал меняет цвет на зеленоватый.
- Состояние кожи. Признаком болезни является появление на коже животного пятен, шишек, абсцессов. Иногда даже сухость и бледность кожного покрова говорит об ухудшении состояния свиньи.
- Потеря аппетита.
- Кашель.
- Выделения из носа, глаз.
- Нервные проявления – судороги, запрокидывание головы, дезориентация.
- Учащённое дыхание.
- Горячие уши.
- Покраснение, посинение слизистых оболочек.
Заметив некоторые симптомы у животного, стоит сразу измерить температуру. Для этого лучше использовать электронный термометр. Смазав наконечник прибора вазелином, его вводят в анальное отверстие на 2 минуты.
Температура свиньи
Нормальная температура у свиней старше года – 38–38,7 градуса. У поросят и особей до года – 39–39,5 градуса.
Это интересно: Вирус африканской чумы свиней: разъясняем нюансы
Типы антибактериальных препаратов
АМИНОГЛЮКОЗИДЫ. Сюда включают:
– Апрамицин (Апралан)
– Фрамицетин (Фрамомицин)
– Гентамицин (Панграм)
– Неомицин (Необиотик)
– Спектиномицин (Спектам)
– Стрептомицин (Девомицин)(примеры торговых названий)Они активно действуют против грам-отрицательных бактерий, таких как E.Coli и эффективны при лечении поноса у поросят и контроля бактерий в пищеварительном тракте. Они бактерицидные и плохо впитываются из кишечного тракта. Использование стрептомицина запрещено в некоторых странах. ЦЕФАЛОСПОРИНЫ Большинство этих препаратов плохо впитываются из кишечника, поэтому их инъецируют. Сюда включают:
– Цефалексин (Цепорекс)
– Цефтифур (Эксценел). Он активен и является отличным средством против респираторных заболеваний.МАКРОЛИДЫ, ПЛЕВРОМУТИЛИНЫ И ЛИНКОЗАМИДЫВ эту группу входят:
– Эритромицин (эритроцин) – линкозамид
– тиамулин (тиамутин) – плевромутилин
– тилмикозин (пулмотил) – макролид
– тилозин (тилан) – макролид
– линкомицин (линкоцин) – линкозамид
– валнемулин (Эконор) – плевромутилинОни, в основном, активны против грам-положительных бактерий, и особенно против микоплазмы. Тиамулин, тилозин и линкомицин активны против Brachyspira hyodysentiriae – возбудителя свиной дизентерии. В эту группу также водит хлорамфеникол (левомицетин), но его добавление в корм животных запрещено в некоторых странах. Тиамулин, тимикозин, тилозин и линкомицин – бактериостатические.ПЕНИЦИЛЛИНВыделяют три группы пенициллина:Пенициллин G. бензоат – вводится только в виде инъекции, т.к. в желудке он разрушается. Является активным против грам-положительных бактерий (стафилококков, стрептококков, возбудителей рожи и клостридиозов), а также против актинобациллеза, гемофилеза и лептоспир. Препарат имеет длительное действие. Пенициллин G. прокаин – медленно реализует свойства и долго действует.Устойчивый к кислоте – феноксиметил пенициллин – вводится заглатыванием, впитывается из пищеварительной системы и не разрушается желудочным сокомПолусинтетический – ампициллин, амоксициллин, клоксациллин – ампициллин и амоксициллин действуют против грам-положительных и –отрицацательных бактерий. Клоксациллин эффективен против грам-положительных бактерий.Все виды пенициллина – бактерицидные.КВИНОЛОНЫ (фторхинолоны)Эти препараты считаются новыми в ветеринарии. Энрофлоксацин (байтрил) используется для лечения свиней. Препараты активны против грам-положительных и –отрицательных бактерий и поэтому эффективны против респираторных и энтерических заболеваний.СУЛЬФОНИЛАМИДЫ Существует около 30 видов сульфониламидов, но только 2 из них используют для свиней: сульфодимезин и сульфадиазин. Последний рециркулируется из фекалий и «отвечает» за отсутствие остатков тканей (особенно в почках) при убое. Сульфониламиды часто сочетается с синтетическим веществами – триметоприм и баквилоприм. Благодаря наличию этих веществ, сульфонамид имеет широкий спектр действия. Сульфониламиды бактериостатичны, но эффективны как против грам-положительных, так и против грам-отрицательных агентов, а также против хламидий, токсоплазм и кокцидий. ТЕТРАЦИКЛИНЫЭто антибиотики, производные грибков стрептомицина и широко используемые в ветеринарии. Они включают: окситетрациклин (ОТС) и хлортетрациклин (СТС). Они имеют широкий спектр действия против грам-положительных и –отрицательных бактерий. В небольших дозах тетрациклины бактериостатичны, а в больших – батерицидны и вводятся против респираторных заболеваний и вторичных бактериальных инфекций. Широко используют террамицин (ОТС) и ауремицин (СТС).ДРУГИЕ АНТИБАКТЕРИАЛЬНЫЕ ПРЕПАРАТЫДиметридазол(Эмтрил) – его можно добавлять как в корм, так и в воду. Они эффективны против анаэробных бактерий и вводятся особенно против дизентерии свиней и колита.Нитрофураны
- Фуразолидон (Нефтин) – вводятся в корм или заглатыванием
- Фуралтадоугн – друой нитрофуран, добавляемый в воду против сальмонеллы и инфекции Е.Сoli.
- Нифулидон – добавляется только в воду.
Они могут быть как бактерицидными, так и бактериостатичными.
Печать
3420
Инфекционные и паразитарные причины проблем с пищеварением у поросят-сосунков.
Самые распространенные инфекционные и паразитарные причины возникновения диареи у поросят в период до отлучения:
- Эшерихия коли – Этек (энтеротоксигенными Escherichia coli).
- Коронавирусы – трансмиссивный гастроэнтерит (ТОС), эпидемическая диарея свиней.
- Клостридия – C. perfringens и C. Difficile (энтеротоксемия свиней).
- Ротавирус – Ротавирусный энтерит свиней.
- Кокцидиоз – Isospora suis.
Кокцидиоз уже у десятидневных поросят приводит к энтериту, который сопровождается поносом желтого цвета, потерей веса, обезвоживанием и угнетением общего состояния поросят, температура тела часто остается в норме, аппетит также сохранен
Важно то, что кокцидия становится пусковым механизмом возникновения других кишечных инфекций в дальнейшем. Даже в случае выздоровления от кокцидиоза поросята длительное время отстают в росте и развитии, по сравнению со здоровыми животными того же возраста
Для успешной профилактики кокцидиоза применяют Байкокс 5% (производства немецкой фирмы Байер), одноразово в возрасте 3-5 день жизни. Действие препарата направлено на уничтожение всех внутриклеточных стадий развития кокцидий, кроме того, доказано, что препарат проявляет иммуностимулирующие воздействие на организм поросят. При появлении клинических признаков кокцидиоза животных лечат сульфатом или триметопримом, а также дают растворы электролитов (орально или подкожно), чтобы компенсировать потерю жидкости.
5. Мастит у свиней
Мастит у свиноматок чаще всего проявляется в форме комплексного заболевания мастит-метрит-агалактия (синдром ММА). К основным симптомам это болезни относятся снижение или полное отсутствие секреции молока, воспаление молочной железы, потеря аппетита и повышение температуры тела. В подавляющем большинстве случаев мастит у свиней вызван бактериями, постоянно присутствующими в окружающей среде, например, Escherichia coli, Klebsiella spp. Pseudomonas spp. и многими другими. Факторами, способствующими увеличению вероятности проявления мастита свиней, являются антисанитария, стресс, неполноценное питание, которые ведут к снижению иммунитета животного.
Лечение мастита свиней проводят с использованием антибиотиков, наряду с противовоспалительными препаратами. К препаратам с доказано высокой эффективностью действия по отношению к возбудителям мастита и мастит-метрит-агалактии относятся МАРБОФЛОКСАЦИН 100, ТЕТРАФОРС LA, ЭНМИТРИЛ 100, ЭНМИТРИЛ 50, АМОКСИБАГ, ДУОЦИЛЛИН LA, СТРЕППЕН LA и многие другие. Для стимуляции лактации при синдроме ММА отлично зарекомендовал себя препарат ОКСИТОЦИН 10. Для снятия воспалительной реакции возможно использование мази МАСТИНЕТ или мощного противовоспалительного средства КЕТОПРОБАГ.
Безусловно, что инфекционные заболевания, встречающиеся у свиней, не ограничиваются этим небольшим списком. Тем не менее, информация об основных и наиболее опасных из них позволит вам принять меры по их предотвращению и своевременному лечению в случае их возникновения.
Паразитарные заболевания
Болезни, вызываемые паразитами, быстро распространяются и хорошо поддаются лечению. Возбудителями являются следующие виды беспозвоночных животных:
- Членистоногие.
- Глисты.
- Простейшие.
Болезни, вызываемые членистоногими
Наибольший урон здоровью свиней из паразитов этой группы доставляют подкожные клещи. Они повреждают шкуру механически, а также вызывают интоксикацию отходами метаболизма, проявляющуюся зудом аллергического характера. Развивается чесотка, вызываемая, преимущественно, клещами из рода саркоптес. Образовавшиеся дефекты кожи подвергаются инфицированию микрофлорой, которая распространена повсеместно. Возникают аллопеции, свиньи теряют массу. Лечение состоит в обработке наружными средствами, обладающими противомикробными, акарицидными, противовоспалительными, а также анальгезирующими свойствами. При необходимости применяют инъекционные препараты, уничтожающие членистоногих, а попутно — паразитических червей.

Чесотка
Гельминтозы
Характеризуются нарушениями пищеварения, развивается интоксикация. Наиболее распространенными глистными заболеваниями, поражающими свиней, являются нижеперечисленные:
Аскаридоз. Вызывается нематодой, обитающей в кишечнике свиньи. Яйца паразита выделяются с фекалиями, обсеменяют корма и воду, вторгаются оральным путем внутрь нового хозяина. Вылупившиеся личинки проникают в кровоток и заносятся в легкие. Механически раздражая ткани органа, аскариды вызывают кашель, заглатываются и превращаются в половозрелых особей в кишечнике. Присоединившаяся микрофлора провоцирует воспаление легких. Развивается одышка, свинья перестает расти. Лечение состоит в проведении дегельминтизации оральными либо парентеральными средствами.

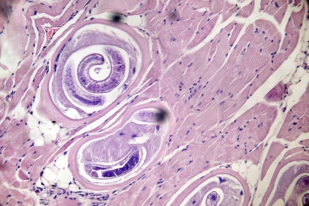
Трихинеллез. Опасное заболевание свиней и человека. Заражение происходит при поедании мяса инвазированного животного. Например, свинья съела крысу, в мышцах которой находились личинки трихинеллы. Попав в кишечник, паразит быстро становится половозрелым. Самки рожают личинок, которые через лимфатические протоки проникают в мышцы, образуя известковую капсулу. Мускульные сокращения вызывают боль. Развиваются отеки на голове, высыпания на коже, сердечная несостоятельность, нервные явления. Человек заражается при употреблении в пищу плохо прожаренного мяса. Послеубойная диагностика состоит в тщательном обследовании туш. Лечение не разработано.

Трихинелла под микроскопом
Цистицеркоз. Вызывается личинкой крупной цестоды — финной, обитающей внутри пузыря, развивающегося, преимущественно, в мускулах сердца и языка. У свиней прижизненная диагностика затруднена. На мясокомбинатах обязательно проводят исследования туш на финноз. Употребление в пищу плохо прожаренного мяса вызывает у человека тениоз. Финна, попадая в кишечник, превращается в цестоду длиной до 3 м. Часто источником заражения свиней становится больной человек.

Цикл развития цистицерка
Ящур
К этому заболеванию восприимчивы свиньи и крупный рогатый скот, а через молоко и люди. Болезнь быстро прогрессирует, если животные содержатся в грязных, сырых и темных помещениях. При заболевании животного появляются ранки и пузырьки в межкопытной щели, на пятачке, слизистой оболочке рта, реже на вымени. Свиньи хромают, не принимают пищу. На пораженных местах возникшие пузырьки лопаются и из них вытекает жидкость, которая попадая на корм, подстилку или воду, является источником заражения других животных.
Заболевших свиней прежде всего необходимо обеспечить чистым станком, достаточным количеством подстилки и легкопереваримыми кормами. Пораженные места нужно обработать специальными средствами по совету врача. Делают профилактические прививки, а также применяют лечебную сыворотку.
Чем и как лечить рожу у свиней
Терапевтические меры следует применять при первых признаках и поставленном диагнозе
При выборе препарата рекомендуем обратить внимание на продукцию российской компании NITA-FARM — ветеринарный антибиотик нового поколения «Азитронит». Уже через 10–12 часов после введения состояние животных может улучшиться
При научных исследованиях на 700 головах препарат показал высокую эффективность.
Действующее вещество — азитромицин. У него широкий спектр антибактериального действия (действует против более чем 30 патогенов). Эффективен он, в том числе, и против Erysipelothrix insidiosa, что доказано при практических исследованиях. Вещество подавляет синтез белка, что останавливает жизнедеятельность бактерий и приводит к их гибели. При этом препарат абсолютно безопасен для организма животных.
Курс «Азитронита» при роже свиней состоит из 2 введений с периодом 24 часа. Препарат вводят внутримышечно в дозе 1 мл/20 кг веса. Действие начинается уже через полчаса. В тяжелых случаях производитель рекомендует повторить инъекцию спустя 24 часа.
Болезнь Ауески
Возбудителем заболевания является фильтрующийся вирус. Обычно животные заражаются во время поедания кормов, загрязненных выделениями больных свиней или трупами грызунов, а подсосные поросята — во время сосания больных свиноматок.
Болезнь протекает в острой форме. Тяжело переносят ее сосуны и отнятые поросята. Заболевание начинается с повышения температуры, отмечается рвота, угнетенное состояние, отказ от принятия корма, выделение из носовой полости, слабый кашель. В дальнейшем температура понижается, животные становятся неспокойными, появляются манежные вращения, животные натыкаются на предметы. Затем следуют судороги, прогибание спины, шатание зада, параличи конечностей.
Приступы продолжаются 15—20 мин, затем животные встают и начинают поедать корм. Часто приступы заканчиваются гибелью поросят. У взрослых животных болезнь длится 2—3 дня, после чего они выздоравливают. Для лечения применяют сыворотку. С профилактической целью проводят вакцинацию.
Незаразными считаются те заболевания, в истоках которых не лежит инфекция
Но при этом стоит обратить внимание на то, что болезнь может иметь массовых характер, если в ее основе лежит неправильный уход или несоблюдение правил кормления или содержания. Гиповитаминозы, рахиты, алиментарные дистрофии могут поражать все стадо
Особенно это касается молодого поголовья, поросята обычно являются индикатором правильного ухода. Среди незаразных часто наблюдаются следующие заболевания.
Инфекционные заболевания
Нередко встречается, что свиньи могут болеть гастроэнтеритом или вирусной пневмонией, рожистым воспалением или везикулярной экзантемой, старинным гриппом или чумой.
Чума

Чаще всего проявляется воспалением легких, серьезного расстройство желудочно-кишечного тракта или кожного заболевания в виде дерматита геморрагического.
Заболевание может проявляться, как у молодых, так и у взрослых свиней.
Чума бывает двух видов: африканская; классическая. К сожалению, пока что вылечить ни одно из видов заболеваний невозможно. Млекопитающих принято уничтожать, а помещение, где они находились, необходимо тщательно стерилизовать.
Поросят, которые недавно родились нужно прививать от этого заболевания. Также при выявлении чумы объявляется карантинный режим для соседних ферм. Если же выявлен случай заболевания африканской чумой, то всех животных истребляют.
Рожистое воспаление

В простонародье болезнь называется рожа. Чаще всего данное заболевание развивается из-за присутствие бета — гемолитического стрептококка группы А. Больше всего подвергаются опасности поросята в возрасте от трех месяцев до года.
Болезнь процветает в весенний и летний период времени года. Болезнь проявляется видом гипертермии, а кожный покров млекопитающих покрывается красными пятнами.
Рожистое воспаление оказывает негативное воздействие на нервную систему, а также способствует ослаблению иммунитета животного. Велика вероятность, что заболевание передастся человеку.
При резком проявлении этой болезни 90 процентов случаев поросенок погибает. Появляются серьезные покраснение на коже, инфекционные воспаления.
Можно ли вылечить рожистое воспаление? Однозначного ответа на этот вопрос нет. Но можно попытаться лечить животное при помощи специальных сывороток, которые помогают укреплению иммунитета, антибиотиков, средств симптоматического действия.
Энзоотический энцефаломиелит
Это заболевание Тешена. Болезнь поражает нервную систему свиньи, от этого ее другие названия – паралич свиней, полиомиелит свиней. Заболеть могут животные в любом возрасте.
Проявляется заболевание судорогами и падением свиньи на один бок, гиперчувствительностью в районе спины, потерей аппетита. В некоторых случаях оно сопровождается рвотой. Животное умирает от паралича. Лечение не производится: свинью забивают с дальнейшей дезинфекцией свинарника.
Экзантема везикулярная

Появляется это заболевание из-за вируса, он способствует проявлению на кожном покрове животного везикулярных воспалений. Везикулой считается ранка, которая заполнена жидкостью.
Также могут проявляться симптомы гипертермии. Экзантемы поражает свиней младшего и старшего возраста, во все периоды года. Заразиться млекопитающие могут через контакт с больными животными или при употреблении инфицированной еды.
Подобные симптомы могут проявляться на протяжении четырнадцати дней. На начальных этапах может быть лихорадка, а также кожные высыпания полости рта, на носу.
Появляется резкое повышение температуры до 40-42 градусов. Ранки, которые выглядят как пузырьки на теле, начинают лопаться, а далее образовывается сухая корочка желтых оттенков.
Везикулы могут возникать у основания ног, следовательно млекопитающие испытывают затруднения в передвижении. Запущенные стадии возможно развитие панариции и потеря копытного рога.
Были зарегистрированы случаи, что беременная свинья приносила мёртвый приплод. Молодых свиней, заболевших экзантемой, необходимо кормить жидкой пищей, также ветеринары часто назначают курс антибиотиков.
При клиническом проявление все поголовье уничтожают. Из полученного мяса изготавливают мясные продукты, а бывшее место проживания животных тщательно обрабатывают.
Гастроэнтерит

Возникает из-за коронавируса, который попадает в организм животного. Также как экзема, гастроэнтерит может проявляться у свиней каждого возраста и разное время года.
Наиболее частые симптомы проявляются рвотой, расстройством желудочно-кишечного тракта, сильным обезвоживанием организма.
Маленькие поросята преимущественно погибают, но особи, которые могли справиться с болезнью, в дальнейшем передают своим детям крепкий иммунитет, что противостоит этой болезни.
У взрослых животных отмечают диарею, повышенное употребление жидкости, повышенную температуру тела.
Ветеринары назначают лечение физиотерапевтическими процедурами и назначения противомикробных препаратов. Чтобы предотвратить возникновение данного заболевания необходимо должным образом ухаживать за животными.
Особенности содержания
Случаи каннибализма развивались совершенно по-разному в зависимости от особенностей содержание животных:
- при использовании соломы в качестве подстилки случаи некорректного поведения возникали в 0,4%;
- при содержании на деревянных полах – 2,1%
- в закрытых помещениях – 1,7%
- открытое содержание – 1,2%.
Солома позволяет снизить вероятность появления случаев каннибализма, т. к. свиньи будут с большим удовольствием исследовать свою подстилку, а не соседей. Но если большая часть свинарника покрыта дощатыми полами, то наличие соломы практически не действует.

Содержание на деревянных полах
Проведение процедуры купирования хвоста
При своевременном и грамотном купировании можно в разы снизить неправильное поведение. Проблемы после удаления хвостика могут возникать в следующих ситуациях:
- хвост имеет большую длину, чем это необходимо;
- проведение неправильного купирования.
Все животные, подвергшиеся купированию, должны обладать в итоге хвостами одинаковой длины.
Стрессовые ситуации
Любые происшествия, увеличивающие уровень тревожности у животных, вызывают у них стремление что-то погрызть из окружающих их предметов. Нередко в качестве таких возникают «товарищи» по свинарнику.
Избыточное количество поголовья на небольшой площади
При слишком большом количестве животных в нерассчитанном на перенаселенность помещении среди свиней возникает конкуренция за корма, воду и свободное пространство. При ограниченном доступе к воде и пище приводит к тому, что возникают драки, во время которых животные кусают друг друга.
Переизбыток поголовья
Температурные скачки
Проблемное поведение может возникать в том случае, если в помещении отсутствует правильный температурный режим. Единственным выходом из ситуации является организация хорошей вентиляционной системы и обогрева на зиму, а также установка комфортной температуры в летний, жаркий сезон.
Неправильное кормление
Несмотря на то что на сегодняшний день рационы для данной группы животных являются полностью сбалансированными, проблемы с питанием все же возникают на фермах, особенно при плохом качестве ингредиентов или при снижении нормы кормления. Любое нововведение может привести к случаям каннибализма.
Отклонение в здоровье животных
Свиньи начинают проявлять агрессию по отношению друг к другу при возникновении ряда болезней, а именно:
- репродуктивно-респираторного синдрома;
- паракератоза;
- экссудативного эпидермита;
- кожных повреждений;
- недугов, сопровождающихся расстройством пищеварительной системы.

Повреждения кожных покровов
Это может привести к вспышкам каннибализма.
Неправильный световой режим
Освещение в свинарнике не должно быть очень ярким или тусклым. Яркий свет провоцирует агрессивное поведение, к тому же животные будут лучше реагировать на наличие крови на своих соседях. В загонах необходимо устанавливать затемнение минимум на 6 часов в сутки.
Структура и внешний вид кожного покрова свиней
У новорожденных поросят кожа и подкожные ткани составляют 10% общего веса, но с возрастом этот показатель снижается до 6%. У хряков кожный покров над лопаткой утолщён за счёт волокнистой соединительной ткани, которая защищает плечи во время драки.
Что касается строения кожи покрова, то можно выделить три основные части:
- Эпидермис (внешний чешуйчатый слой покрова)
- Дерма (непосредственно кожа, наиболее толстый слой)
- Подкожный слой (состоящий из жира и соединительной ткани)
По внешнему виду кожного покрова, особенно у свиней белых пород, можно судить о здоровье/болезненности свиньи
При исследовании кожного покрова обращают внимание на следующие моменты:. Цвет: у белых пород цвет варьируется от очень бледного (возможно, вследствие анемии) до красного (возможно, вследствие лихорадки или солнечного ожога, или укусов насекомых в некоторых местах)
Синие/чёрные конечности у свиньи могут быть вследствие септицемии, например, сальмонеллеза, токсемии или недостаточности кровообращения
Цвет: у белых пород цвет варьируется от очень бледного (возможно, вследствие анемии) до красного (возможно, вследствие лихорадки или солнечного ожога, или укусов насекомых в некоторых местах). Синие/чёрные конечности у свиньи могут быть вследствие септицемии, например, сальмонеллеза, токсемии или недостаточности кровообращения.
Экзема: признак дерматита, процесса, при котором сыворотка выходит наружу кожного покрова, вызывая повреждения. Как правило, экзема образуется при повреждении ушей и боков свиней.
Рост щетины: если он чересчур интенсивный, то это свидетельствует о низкой окружающей температуре, плохом питании или о заболевании, например, чесотке, пневмонии, дизентерии или чесотки.
Воспаление: инфекция или воспаление внешнего слоя называется эпидермитом, а если воспаление более глубокое, то это – дерматит. Первый наблюдается при паракератозе, а второй – вследствие бактериальной инфекции. Воспалённые области могут слиться в одну, а могут остаться в виде пятен.
Желтуха: кожный покров приобретает лёгкий или умеренный жёлтый оттенок, который чётче виден на слизистой оболочке глаз. Желтуха может быть вызвана паразитами в крови или поражением печени токсинами, афлатоксином, например.
Некроз: если какая-то область кожного покрова недостаточно снабжается кислородом, то она отмирает, оставляя после себя тёмный след. Чаще всего наблюдается некроз сосков, хвостов и колен поросят вследствие травмы и повреждений кожи. Причиной остановки кровоснабжения – организмы, блокирующие маленькие кровеносные сосуды кожного покрова.
Пустулы и папулы: это небольшие воспаления, размером 1-3 мм с красным выдающимся центром и гноем внутри. Они являются следствием вирусной инфекции или аллергической реакции на укусы чесоточных клещей.
Везикулы: нарывы, содержащие жидкость. Размер варьируется соответственно заболеванию от 1 до 10 мм. В случае везикулярной болезни, ящура или везикулярной экзантемы нарывы присутствуют вокруг рта и языка свиньи.
Печать
4834
Канадский взгляд на проблему
Ученые с Онтарио провели исследования касательно влияния кокцидиозов на поросят. Большинство из них показали, что у больных животных значительно снижаются приросты на пятой неделе после рождения.
Ученые также подчеркнули, что фермы, на которых не используют моющие вещества для очистки станков для опороса, имеют больший риск появления кокцидиозов (на 1,7 %) сравнительно с теми фермами, где их применяют. Однако только обработка дезинфектантами не является гарантией безопасности против появления кокцидиоза в хозяйстве.
Поэтому самыми эффективными методами борьбы является совместная дезинфекция помещения и оборудования с параллельным применением схем для профилактики и лечения животных.
Одна из причин низкой продуктивности свиноматок.
Одной из причин получения низкого многоплодия является неправильное кормление отъемных свиноматок и ремонтных свинок перед осеменением. На многих предприятиях получили многополодие менее 9 поросят от завезенного импортного поголовья по причине сдерживания темпов роста ремонтных свинок путем снижения норм и качества кормления.
В передовых хозяйствах хорошо зарекомендовало себя кормление вволю для отъемных свиноматок и ремонтных свинок до осеменения. При высоком уровне кормления перед осеменением свиноматка производит более жизнеспособные яйцеклетки, что увеличивает многоплодие до 1 поросенка на опорос.
В 90% специализированных хозяйств проблема воспроизводства возникает по причине неграмотного кормления супоросных свиноматок. Чаще всего встречается перекорм, приводящий к ожирению свиноматок как отечественной, так и зарубежной селекции. При этом возникают проблемы увеличения количества мертворожденных поросят, затяжные опоросы, эндометриты, маститы, агалактия и гипогалактия, значительное увеличение падежа поросят, снижение их отъемного веса, отсутствие или задержка охоты после отъема, аборты и, как следствие, снижение пожизненной продуктивности свиноматок.
Нормальное состояние свиноматки во время супоросности – заводская упитанность и постоянное чувство голода. Кормушки в цехах содержания супоросных свиноматок должны быть чистыми (вылизанными) через 20 минут после раздачи корма. Наличие остатков корма в кормушках указывает либо на болезненное состояние свиноматки, либо на излишнее кормление. Важным показателем качества комбикорма для супоросных свиноматок является содержание в нем клетчатки, уровень которой должен составлять не менее 6%. Оптимальное содержание клетчатки улучшает перистальтику желудочно-кишечного тракта, препятствует возникновению запоров, создает чувство сытости, которое положительно влияет на поведение свиноматок, увеличивает сохранность эмбрионов, способствует лучшему их закреплению к стенкам матки. В супоросный период кормление свиноматок должно проводиться согласно их упитанности, и регулироваться как минимум раз в неделю. В зависимости от содержания корма, его энергетической ценности и упитанности свиноматок, суточная норма дачи комбикорма может колебаться от 2,4 кг. до 3,4 кг. При еженедельном контроле состояния свиноматок колебания корректировки суточной нормы корма должно составлять плюс минус 200 грамм. При более резких изменениях норм кормления тяжело достичь оптимальной упитанности животных.
Каждый этап в кормлении свиноматок очень важен для их пожизненной продуктивности. Существуют различные рекомендации по уровню кормления свиноматок, мы придерживаемся следующей схемы кормления: от осеменения до 18-25 дня – ограниченное кормление (от 2 до 2,4 кг.) с целью более успешной нидатации; до 80 дня супоросности кормление в зависимости от упитанности свиноматок от 2,4 до 2,6 кг.; с 80 до 110 дня, в период интенсивного внутриутробного развития поросят, – до 3 кг.; при постановке в цех опороса для освобождения кишечника от каловых масс – снижение нормы дачи до 2–2,5 кг. При этом возможно применение энергетических добавок, особенно в стадах с высоким многоплодием для увеличения количества живорожденных поросят. В день опороса задается только вода, в последующие дни идет раскорм свиноматок в течение 7-10 дней в зависимости от генетики с ежедневным увеличением по 1 кг – 1, 5 кг с тем, чтобы к концу раскорма выйти, как минимум, на потребление 2,5 кг на матку плюс 0,5 кг на подсосного поросенка. Кормление подсосных свиноматок проводят по поедаемости, не допуская вылизывания кормушек и излишнего истощения животных
Важно провести последнее утреннее кормление подсосной матки в день отъема с тем, чтобы сократить отрезок времени до прекращения молокоотдачи в связи с быстрым увеличением давления молока в вымени
Самков С.А., кандидат с.х.наук. ООО “Поволжский научно-производственный центр”
Печать
3588
Внимание – на диагностику
Для точности постановки диагноза стоит воспользоваться большим количеством образцов. Специалисты советуют на небольших фермах отбирать пробы от 3 до 5 поросят в гнезде (образцы из одного гнезда можно объединить), а на промышленных комплексах исследуют не менее 5-10 % приплода.
При постановке диагноза учитывают клинические признаки заболевания, эпизоотологические данные, патологоанатомические изменения, однако решающим фактором в постановке диагноза является обнаружение ооцист в пробах фекалий больных животных, которые исследуют методами Фюллеборна, Котельникова или Дарлинга (берут во внимание интенсивность инвазии). Наличие в поле зрения микроскопа только отдельных ооцист свидетельствует о субклиническом течении заболевания или паразитоносительстве
При патологоанатомическом вскрытии трупов делают соскобы со слизистой оболочки, которые исследуют компрессорным методом на наличие ооцист.







