Болезни поросят
Наиболее распространенные заболевания поросят — отечная болезнь, анемия, гипогликемия.
Отечная болезнь
Основной возбудитель болезни – кишечная палочка. Как правило, болеют поросята-отъемыши. Для появления отечности благоприятным условием является чрезмерное количество белковой пищи (пшеницы, кукурузы). Преимущественно отекают веки и голова. Во время отека мозга у поросят увеличивается температура до 41C, отмечаются нервные расстройства, которые сопровождаются беспорядочными движениями, мышечной слабостью, судорогами с дальнейшим параличом.
Сверх острая форма заболевания проходит на протяжении нескольких часов и завершается 100% смертью животного. В острой стадии летальный исход от асфиксии случается в 85% случаев.
Гипогликемия
Молодняк может заболеть на протяжении первых двух суток после появления на свет из-за резкого снижения в крови уровня сахара. Основные причины: переохлаждение сосунков, нехватка молозива, когда опорос был большим, а также несбалансированное питание свиноматки.
Изначально заболевшие поросята беспокойны, после становятся сонливыми, температура тела снижается, на концах конечностей проявляется синюшность, при этом весь кожный покров становится бледным. Последующее развитие заболевания вызывает коматозное состояние, новое увеличение температуры, судороги, затем поросенок погибает.
Для лечения используют инъекции препаратов тиамина и инсулина, выпаивание водным сладким раствором, а также инъекции глюкозы. Для профилактики болезни требуется правильное содержание поросят и сбалансированный рацион свиноматки до и после родов.
Алиментарная анемия
Данную болезнь поросят описал впервые в начале 20 века ученый В. Браш из Германии. Чаще всего болезни подвержены поросята-сосунки. Появляется заболевание из-за того, что в молоке свиноматки недостаточно железа. Анемия выражается бледностью кожи, блекнет щетина, белеют уши. Поросята становятся малоподвижными и вялыми, теряют сосательный рефлекс.
Лечение болезни практически неэффективно, но ее можно легко предупредить. Для чего нужно наладить полноценный рацион свиноматки. На 3-4 день после опороса поросятам непременно вводят препараты, которые содержат железо, витамины и другие требуемые полезные вещества.
Рахит
У поросят, уже отлученных от свиноматки, может появляться рахит как результат нехватки в организме витаминов А и Д, фосфора, кальция. У животных начинает появляться извращенный аппетит: они поедают навоз, подстилку, лижут кормушку, несъедобные предметы. Поросятам сложно ходить. Помимо того, имеют место замедленный рост, вздутие живота, расстройство пищеварения.
Рахит — это хроническая болезнь, а, соответственно, ее проще предупредить, нежели лечить. Для чего важны солнечные ванны, сбалансированное питание. В зимнее время в корма необходимо добавлять витамин Д.
Гастроэнтерит и диспепсия
Молодняк требует большого внимания, тем более относительно рациона. Корм обязан быть богатым на витамины А и В, а также качественным. Понос, вялость, бледность слизистых, рвота — типичные симптомы заболеваний ЖКТ. Каловые массы в составе имеют примеси крови и слизи, характерный неприятный запах. Во время лечения лекарственными средствами большое значение имеет диета: необходим легкий рацион, который содержит мучные болтушки и каши.
Фурункулез
Основным возбудителем является стафилококк. Причина болезни – ослабление организма маленького поросенка и недостаточный уход. Пораженные места обрабатывают зеленкой, спиртом, применяют ихтиоловую мазь. Фурункулы должен вскрывать ветеринар, затем используются антибиотики.
Для того чтобы свиньи давали хороший прирост и были здоровыми, любой ветеринар порекомендует наблюдать внимательно за поголовьем, обеспечить ему своевременную профилактику, сбалансированное питание и надлежащий уход. А в случае подозрения болезни — не проводить самолечение, а незамедлительно обратиться к врачу.
Содержание свиней





Болезни свиней
Заболевания у свиней можно условно разделить так:
- паразитические;
- инфекционные;
- незаразные.
Нужно не забывать, что определенные болезни свиней угрожают здоровью человека, к примеру, чесотка, рожистое воспаление. Особенно страшны для человека балантидиоз, бруцеллез и лептоспироз.
Свиньи довольно чувствительны к увеличению температуры внешней среды. Необходимо знать, что нужно делать, если произошел тепловой удар.
Животное нужно охладить. Для чего его грудь и голову поливают холодной водой. Чтобы уменьшить температуру, свиньям можно поставить клизму с водой комнатной температуры.
У животных могут отмечаться расстройства пищеварительной системы от употребления некачественной пищи. Во время поноса свинью необходимо ограничить в еде, можно дать танин (1-2 грамма) или поить отваром дубовой коры (1:10 в объеме 60-70 мл). Во время запоров — обильное питье и слабительные. При вздутиях нужно сделать массаж живота, уменьшить рацион, исключить из него все продукты, которые вызывают процессы брожения. Однако данные явления зачастую говорят о какой-то болезни. Потому желательно обратиться за консультацией к ветеринару.
Паразитарные заболевания
Болезни, вызываемые паразитами, быстро распространяются и хорошо поддаются лечению. Возбудителями являются следующие виды беспозвоночных животных:
- Членистоногие.
- Глисты.
- Простейшие.
Болезни, вызываемые членистоногими
Наибольший урон здоровью свиней из паразитов этой группы доставляют подкожные клещи. Они повреждают шкуру механически, а также вызывают интоксикацию отходами метаболизма, проявляющуюся зудом аллергического характера. Развивается чесотка, вызываемая, преимущественно, клещами из рода саркоптес. Образовавшиеся дефекты кожи подвергаются инфицированию микрофлорой, которая распространена повсеместно. Возникают аллопеции, свиньи теряют массу. Лечение состоит в обработке наружными средствами, обладающими противомикробными, акарицидными, противовоспалительными, а также анальгезирующими свойствами. При необходимости применяют инъекционные препараты, уничтожающие членистоногих, а попутно — паразитических червей.

Чесотка
Гельминтозы
Характеризуются нарушениями пищеварения, развивается интоксикация. Наиболее распространенными глистными заболеваниями, поражающими свиней, являются нижеперечисленные:
Аскаридоз. Вызывается нематодой, обитающей в кишечнике свиньи. Яйца паразита выделяются с фекалиями, обсеменяют корма и воду, вторгаются оральным путем внутрь нового хозяина. Вылупившиеся личинки проникают в кровоток и заносятся в легкие. Механически раздражая ткани органа, аскариды вызывают кашель, заглатываются и превращаются в половозрелых особей в кишечнике. Присоединившаяся микрофлора провоцирует воспаление легких. Развивается одышка, свинья перестает расти. Лечение состоит в проведении дегельминтизации оральными либо парентеральными средствами.

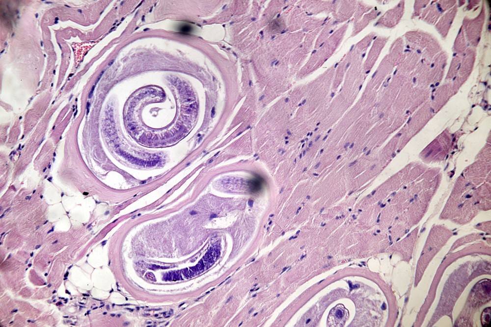
Трихинеллез. Опасное заболевание свиней и человека. Заражение происходит при поедании мяса инвазированного животного. Например, свинья съела крысу, в мышцах которой находились личинки трихинеллы. Попав в кишечник, паразит быстро становится половозрелым. Самки рожают личинок, которые через лимфатические протоки проникают в мышцы, образуя известковую капсулу. Мускульные сокращения вызывают боль. Развиваются отеки на голове, высыпания на коже, сердечная несостоятельность, нервные явления. Человек заражается при употреблении в пищу плохо прожаренного мяса. Послеубойная диагностика состоит в тщательном обследовании туш. Лечение не разработано.

Трихинелла под микроскопом
Цистицеркоз. Вызывается личинкой крупной цестоды — финной, обитающей внутри пузыря, развивающегося, преимущественно, в мускулах сердца и языка. У свиней прижизненная диагностика затруднена. На мясокомбинатах обязательно проводят исследования туш на финноз. Употребление в пищу плохо прожаренного мяса вызывает у человека тениоз. Финна, попадая в кишечник, превращается в цестоду длиной до 3 м. Часто источником заражения свиней становится больной человек.

Цикл развития цистицерка
Описание и возбудитель заболевания
Ученые еще не обладают точной информацией о том, какой именно микроорганизм способен вызвать у свиней отечную болезнь. Многие из них сходятся во мнении, что это могут быть бетагемолитические токсигенные колибактерии. Именно они являются причиной специфического отравления организма животного. В ветеринарии заболевание известно также под названием энтеротоксемия или паралитический токсикоз. В народе недуг именуют просто отечной болезнью поросят.
Сигналом о том, что поросенок заболел опасным заболеванием, является повышенная температура, которая через некоторое время опускается до нормальной. В дальнейшем молодая свинья отказывается от еды, страдает светобоязнью, появляется рвота, понос и отеки. Походка у животного становится шаткая.
Лечение опухолей забрюшинного пространства (в малом тазу)
Забрюшинная опухоль, возникшая в тканях малого таза, может быть вылечена только с помощью хирургического вмешательства. Если опухоль малого таза у мужчин задействовала несколько органов, то оперативное вмешательство является крайне сложным. К сожалению, проводить вмешательство такой сложности не под силу многим врачам, и даже опытные доктора отказываются проводить операции. Такое вмешательство может повлечь частичное или полное отсечение мочевого пузыря, прямой кишки и репродуктивных органов у женщин. Если опухоль малого таза у мужчин и женщин поразила кости и крупные сосуды, то заболевание считается неизлечимым.
Опухоль малого таза у мужчин и женщин, поражающая толстый кишечник, лечится путем отсечения больной части кишки. Способ отсечения зависит от местоположения начального образования и наличия метастаз. Перед назначением операции внимательно обследуют органы брюшной полости. Размер вырезаемой части кишки зависит от размера опухоли. Если забрюшинная опухоль исходит из слепой или сигмовидной кишки, то требуется удаление больной части кишки с оставлением и соединением здоровых частей.
Запор
Инфекционные заболевания могут приводить к запору, который чередуется с поносом, что часто случается при чуме, гельминтозе, сальмонеллезе. Так же все знают о том, что любая инфекция сопровождается повышением температуры, и отравлением организма токсинами микроорганизма. Нормальная температура у свиньи в рамках 38-40 градусов.
Неинфекционные заболевания тоже имеют сопутствующий симптом в виде запора, но ему может сопутствовать понос, такое течение бывает при гастроэнтеритах, отравлениях, бронхопневмонии. Нужно провести дифференциацию с инфекционным процессом, либо начать лечение основного заболевания, и если свинья идет на поправку, то и запор с поносом так же пройдут.
Если возникновение запора следствие неправильного питания или перекармливания, то при этом не будет наблюдаться следующих симптомов: повышения температуры, выделений из носа, вялости животного а значит повода для беспокойства нет. Такая этиология запора не опасна, и лечится довольно просто, достаточно дать свинье слабительное.
После этого стоит пересмотреть рацион животного. Поить их нужно только свежей водой, застоявшаяся вода так же может вызвать отравление и понос с запором.
Если животное не чем не болеет, с питанием тоже все нормально, но у него запор, здесь нужно заподозрить закупорку кишечника посторонним предметом. У невнимательных хозяев свинья при выгуливании на территории может проглотить инородные предметы: гвозди, камни, палки, проволоку. Это вызывает закупорку в кишечнике или пищеводе. У животного будет запор, обильное выделение слюны, частые глотательные движения. Оно возбуждено и часто машет головой.
Лечение запоров состоит в даче проносного лекарства, лечения первичного заболевания что вызвало данную проблему. Если дело в закупорке, не обойтись без хирургического вмешательства.
Симптомы острого панкреатита
Симптомы острого панкреатита зависят от того, в какой форме – легкой или тяжелой – протекает заболевание. Панкреатит легкой формы сопровождается умеренной болью и невысоким риском развития осложнений. Тяжелая форма воспаления чревата гибелью тканей поджелудочной железы, что может привести к формированию абсцессов и развитию гнойного панкреатита1.
Основные симптомы острого панкреатита1:
- тошнота и рвота, в рвотных массах иногда присутствует желчь;
- выраженная боль в левом подреберье;
- высокая температура;
- жидкий стул;
- скачки артериального давления;
- вздутие живота, тяжесть;
- появление кровоизлияний в пупочной области.
Острое воспаление протекает с нарушением оттока панкреатического сока. Поджелудочная железа начинает переваривать собственные ткани, что приводит к сильной опоясывающей боли. Боль обычно возникает внезапно, после переедания, употребления жирных продуктов или алкоголя.
При остром панкреатите начало болевого приступа часто сопровождается ростом артериального давления. Но бывает и так, что, повысившись, давление резко падает, пациент бледнеет, у него возникает сильная слабость, проступает холодный пот. Такие симптомы могут говорить о развитии шокового состояния, которое требует безотлагательной врачебной помощи.
Возбудитель болезни
Еще в 1880-х гг. одним ученым был выявлен такой возбудитель, как кишечная палочка, способный распространять среди живого населения различные инфекционные заболевания. С того времени ученые тщательно работали над этим вопросом и открыли множество болезней, которые провоцирует именно этот возбудитель. К таким относят и отечную болезнь.
В 1950-х гг. отечественные ученые, занимающиеся той же проблемой, открыли отечную болезнь (эшерихиоз) и охарактеризовали его как заболевание, вызывающее патогенный штамм кишечной палочки, который в свою очередь провоцирует разрушение верхний слой эритроцитов.

Кишечная палочка под микроскопом
Кишечная палочка как возбудитель заболевания:
- Является токсичным возбудителем и вбрасывает различные яды в кровь животного.
- Уживается и начинает тесно взаимодействовать с кишечными бактериями и организмами.
- Является особенно опасным, если у животного выявляется недостаток витаминов группы В.
- Не способен выдерживать слишком высокие температуры, из-за чего погибает в 60-ти градусной температуре за 15-17 минут, в 77-ми градусной – за 17-22 минуты, в 100 градусной температуре – мгновенно.
- Способен жить в водной и почвенной среде, в остатках пищи, в сараях до 2-2,5 месяцев.
- Не выдерживает дезинфекции народными средствами и погибает через 5-10 минут.

кишечная палочка не погибает при высоких температурах
Лечение и профилактика отечки у поросят
Специфических препаратов для лечения отечной болезни свиней, а также ее профилактики на сегодняшний день не существует. Лечение проводят с помощью антибиотиков, сердечных и мочегонных препаратов, антигистаминов. Перед началом проведения терапии подозрительных поросят немедленно изолируют от остального стада. Их переводят в отдельно расположенный станок, оставляют на голодной диете, но не ограничивают доступ к чистой воде. Чтобы очистить кишечник поросят от токсинов, вырабатываемых бактериями, им делают клизму.
Медикаментозное лечение отечной болезни поросят проводят с помощью таких лекарств:
- Сульфаниламидные препараты (в особенности сульфадимезин). Таблетки назначают по 0,5– 1,0 г дважды в сутки с пищей или в виде раствора (2%) в смеси с содой (1%) в расчете 2–3 мл на каждый кг веса свиньи. Максимальная доза лекарства составляет 4–6 мл.
- Антибиотики (стрептомицин, биомицин, пенициллин). Применяют внутримышечно по 5 мг на 1 кг веса поросенка по 2 раза в сутки.
- Димедрол. Антигистаминный препарат назначают для предотвращения аллергической реакции организма поросят на токсичные вещества, выделяемые кишечной палочкой. Инъекции лекарства — (1%) утром и вечером по 2 мл.
- Кальция хлорид. Раствор препарата (5–10%) дают больным отечкой поросятам через рот по 1 ст. л. 2 раза в сутки.
- Кордиамин. Сердечный препарат применяют для усиления работы органа по 0,2 мл по утрам, в середине дня и вечером.
- Анальгин. Обезболивающее средство необходимо, чтобы снизить боль при судорогах (по 1–3 таблетки на каждое животное).
Кормят выздоравливающих поросят первые 1–2 дня легкоперевариваемыми кормами, наполовину уменьшив обычную дозу. В следующие 2–3 дня количество пищи, которое получают свиньи, доводят до нормы.
Так как лечение отечной болезни малоэффективно, большое значение имеют профилактические мероприятия, которые позволяют максимально снизить вероятность гибели поголовья. Для этого:
- Организовывают разнообразное и сбалансированное питание свиноматок и потомства. В рацион вводят витамины группы В, продукты с высоким содержанием белка.
- Делают подкормку минеральными солями в виде мела, древесного угля, мелких костей, мясокостной муки, трикальцийфосфата.
- Поросятам выпаивают раствор хлористого кальция (3%) с коровьим молоком из расчета 1 ст. л. по 1 разу в сутки.
- Подкармливают поросят-сосунов, начиная с 2 недель их жизни, витаминными и зелеными кормами (пюре из моркови, сечкой клеверного сена, пивными дрожжами).
- Не допускают слишком раннего и резкого отъема молодых животных, проводят его постепенно.
- Весной и осенью регулярно выпускают поголовье свиней и поросят на свежий воздух, а летом по возможности содержат их в открытых загонах.
- Поросят-отъемышей выращивают отдельно от взрослых животных.
- Своевременно очищают свинарник от накопившегося там навоза, остатков не съеденной пищи, меняют воду в поилках.
- Проводят необходимый мелкий ремонт и обработку всего помещения дезинфицирующими средствами.
При подозрениях на отечку лечение антибиотиками и другими препаратами назначают всему поголовью поросят. После прохождения курса терапии, животным для восстановления подавленной микрофлоры в кишечнике, добавляют в рацион кисломолочные продукты и ацидофильные препараты.
Об авторе
Проказы палочки E. coli
Из-за смены корма у поросенка снижается устойчивость слизистой оболочки кишечника, активность ферментов пищеварения. Кормовые массы не усваиваются, они давят на стенки, образуется застой.
Из-за нарушения барьерной функции повышается проницаемость эпителия кишечника, что позволяет легче бактериям, токсинам, антигенам проникать в организм. Эти патогенные микроорганизмы выделяют гемотоксины, которые попадают в кровь, что приводит к дистонии сосудов, увеличению их проницаемости, появлению отечности. Отекают многие внутренние органы поросенка (как показывает вскрытие).

Нервные расстройства (судороги, нарушение координации, паралич, припадок) связывают с отеком ткани головного мозга поросенка.
Причиной смерти поросенка при отечной болезни обычно является удушье из-за отека легких.
Чем лечить понос у поросят в домашних условиях?
Если поросята поносят — необходимо незамедлительно принять первые меры по предупреждению обезвоживания и вызвать ветеринара, который диагностирует причину диареи и назначит необходимую терапию.
Мнение эксперта
Дубас Андрей Леонидович
Ведущий врач терапевт ветеринарной клиники доктора Бугаева
При первых признаках необходимо предупредить обезвоживание путем перорального введения специальных растворов:
- Регидрон предлагается животным в объеме 200 мл/10кг массы 5 раз/сутки. Пакетик порошка разводится в 1 л теплой воды. Заменить покупной раствор можно приготовленным самостоятельно: в стакане воды растворить по 1 ч л сахара и соли.
- Хлорид калия вводится на пустой желудок перед приемом пищи трижды в сутки с разовой дозировкой по 10 мг.
- Раствор натрия хлорида 0,9% допустимо использовать при необходимости срочной помощи животному. Суточная дозировка для поросенка составляет 100 г.
Для терапии поноса у маленьких поросят инфекционной природы ветеринары прописывают лекарства с антибактериальным действием. Лекарства для перорального приема рекомендуют смешивать с сухим кормом или растворяют их в воде.
- Бровасептол — порошкообразный антибиотик назначается в дозировке 1 г/10 кг веса. Продолжительность терапии от 3 до 5 суток. При сильной диарее Бровасептол вводится внутримышечно.
- Аколан прописывается при жидком стуле в объеме 1 г на 10 кг веса особи. Кратность приема – дважды/сутки через каждые 12 часов. Длительность терапевтического курса 5 дней.
- Броваформ – антибиотик широкого спектра действия для перорального приема. Назначается по 1 г на 20 кг веса поросенка двукратно в течение 5 дней.
- Амоксициллин – представитель пенициллинов. Назначается в виде порошка или уколов. Дозировка исходит из выраженности клинической картины и, как правило, составляет 20 мг/кг массы в течение дня. Дневная дозировка делится на 3 приема и не должна превышать 1 г.
- Биовит для поросят представляет собой лекарство с хлортетрациклином, протеинами, минералами и витаминами группы В, которые необходимы для нормальной работы желудка и кишечника. В первый месяц жизни назначается по 0,75 г в день. С 2 по 6 месяц жизни терапевтические дозировки увеличиваются до 3 г в сутки. После 6 месяцев препарат прописывается в объеме 7,5 г.

У вьетнамских поросят
У представителей данного вида функционирование ЖКТ несколько отличается от других пород, в связи, с чем понос у маленьких поросят лечится другими препаратами:
- Тетрациклином или Левомицетином, которые назначаются в дозировке от 35 мг/кг массы животного;
- Фармазин 50 мг предназначен для внутримышечного введения;
- Фуразолидон назначается исходя из пропорций по 3 мг на каждый килограмм массы животного.
Формы
Для отечной болезни поросят характерны три основные формы: острая, молниеносная и хроническая. Молниеносная получила свое название благодаря тому, что животные погибают внезапно, и принять меры для их спасения фактически нет времени.

Молниеносная
Молниеносная форма отечной болезни отличается тем, что еще с вечера здоровые поросята в течение следующего дня могут погибнуть. Чаще всего страдают от заболевания хрюшки-отъемыши возрастом двухмесячного возраста. Такая форма заболевания встречается преимущественно на фермах. От внезапно погибших свиней более сильные собратья могут подхватить инфекцию и получить отеки и поражения нервной системы.
Острая
Такая форма является самой распространенной. Поросята живут с ней до суток, и процент смертности немного ниже, и составляет около 90%. Животные погибают от асфиксии, поскольку нервная система утрачивает способность проводить сигналы от дыхательного центра головного мозга. Перед смертью пульс возрастает до 200 ударов в минуту. Сердце пытается возместить организму дефицит кислорода, который перестал поступать из легких, ускоряя прокачку крови.

Хроническая
Данная форма заболевания характерна для поросят возрастом старше 3 месяцев. Симптомами являются:
- плохой аппетит;
- угнетенное состояние;
- залеживание.
Хроническая форма отличается тем, что при ней возможно самовыздоровление. Однако переболевшие поросята отстают в развитии, у них проявляется хромота и искривление шеи.
Причины возникновения
Причины развития энтеротоксемии не менее загадочны, чем истинный возбудитель. Если о возбудителе энтеротоксемии известно, что это один из видов бактерий, постоянно обитающих в кишечнике, то причиной с большой долей вероятности можно назвать снижение иммунитета.
Внимание! При снижении иммунитета в первую очередь начинает размножаться патогенная микрофлора. А вот спусковым крючком для падения резистентности организма у поросят могут послужить:
А вот спусковым крючком для падения резистентности организма у поросят могут послужить:
- стресс в результате отъема от свиноматки;
- преждевременный отъем, когда еще не до конца развился кишечник и защитные системы организма;
- плохое содержание;
- отсутствие выгула;
- некачественное кормление.
Даже простой перевод поросенка из одного станка в другой может вызвать стресс, который приведет к снижению иммунитета.
Активные бактерии энтеротоксемии могут быть занесены переболевшим поросенком. Ситуация, как с туберкулезом у человека: у всех людей есть некоторое количество палочек Коха в легких и на коже. Бактерии не причиняют вреда, пока организм может защищаться или пока рядом не появится человек с открытой формой болезни. То есть рядом будет источник большого количества активных бактерий. В случае с отечной болезнью таким «фонтаном» активных бактерий является переболевший поросенок.
Кто в группе риска: поросята или свиньи
Фактически, носители колибактерий в безопасных для организма количествах – все поголовье свиней на планете. Болезнь распространена по всему миру. Но заболевают энтеротоксемией далеко не все. Наиболее подвержены болезни упитанные и хорошо развитые поросята, но только в определенные периоды жизни:
- самые частые случаи на 10-14 день после отъема;
- второе место у подсосных поросят;
- на третьем – молодняк старше 3 месяцев.
У взрослых свиней то ли развиты защитные функции организма, то ли закалена нервная система, не позволяющая животному впадать в стресс из-за любой мелочи.
Насколько опасно заболевание
Часто болезнь возникает внезапно и владелец не успевает принять меры. Обычная смертность при отечной болезни 80-100%. При молниеносной форме погибает 100% поросят. При хронической выживает до 80%, но эта форма регистрируется у «старших» поросят с относительно сильным иммунитетом.
Процесс терапии
Лекарства от отечной болезни не существует. Здесь потребуется комплексное лечение, направленное на устранение симптоматики и поддержание организма.
В первую очередь, больных животных следует поместить в отдельное помещение и исключить любые контакты с остальным поголовьем. Поросят держат на голодной диете, но питье они должны получать в неограниченном количестве.
Для лечения используются лекарственные препараты нескольких групп:
- Сульфаниламиды, в частности, препарат сульфадимезин. Лекарство в таблетках дают по 0,5-1,5 г два раза в день с едой. Можно спаивать в виде раствора 2%, в него добавляют 1% соду и расчете 2-3 мл на 1 кг живого веса поросенка. Максимальная суточная дозировка не должна превышать 4-6 г.
- Антибактериальные препараты, такие как пенициллин, биомицин, стрептомицин. Используется 5 мг на 1 кг веса в сутки. Антибиотики необходимы для подавления жизнедеятельности кишечной палочки.
- Димедрол назначают в качестве антигистаминного препарата, он необходим для того, чтобы нейтрализовать интоксикацию продуктами жизнедеятельности кишечной палочки. Делают уколы 1%-димедрола дважды в сутки — утром и вечером.
- Хлорид кальция 5-10% дают в виде питья по 1 ст.л. дважды в сутки. Этот бесцветный прозрачный раствор имеет противовоспалительный, противоаллергенный и гемостатический эффект. Он снижает проницаемость капилляров и восполняет недостаток ионов кальция. Благодаря этому нормализуется работа скелетных мышц, сердца, пищеварительной системы и приходит в норму свертывающая система крови.
- Кордиамин — это препарат, улучшающий работу сердца. Делают уколы по 0,2 мл трижды в день.
- Анальгин используется в комплексной терапии в качестве обезболивающего средства, когда нужно уменьшить болевой синдром при судорогах. Дают в таблетках по 1-3 таблетки в сутки на одного поросенка.
- Магнезия. Необходим слабый раствор, чтобы ослабить интоксикацию организма. Препарат дают по 25-40 г за один раз поросенку.
- Нередко заботливые хозяева дают наряду с антибиотиками витамины группы В (В1, В12 внутримышечно) — это дает хорошие результаты.
- Такая терапия наносит существенный удар по организму поросенка. Для того чтобы восстановить нормальную микрофлору кишечника, поросятам нужно давать ацидофильно-бульонную культуру по 50-60 мл трижды в сутки.
Во время прохождения острой фазы заболевания животное следует подержать на голодной диете, чтобы его кишечник очистился от болезнетворных микроорганизмов. Для ускорения процесса очистки кишечника делают клизмы и дают слабительные препараты. Как только острая фаза минует, нужно давать максимально легкие для усвоения корма в небольшой дозировке. Только на 3-5 день можно давать привычное количество кормов.
Питье должно быть в свободном доступе. В чистую воду добавляют 5-7% глауберовой соли. Давать переболевшим поросятам можно только самый качественный корм.







